Kayseri'de "uluslararası uyuşturucu kuryeleri" operasyonu: 3 şüpheli yakalandı
İran’dan Türkiye’ye uyuşturucu madde getirdiği belirlenen üç şüpheli, Narkotik ekiplerinin düzenlediği operasyonda yakalandı. Şahısların iç bedenlerinde toplam 554 gram uyuşturucu madde bulundu.
Kayseri İl Emniyet Müdürlüğü Narkotik Suçlarla Mücadele Şube Müdürlüğü ekipleri, 08.12.2025 tarihinde uluslararası uyuşturucu madde ticareti yapan kurye şahıslara yönelik operasyon gerçekleştirdi. Yapılan çalışma kapsamında, İran’dan Türkiye’ye uyuşturucu madde taşıdığı tespit edilen S.C. (1984), R.B.C. (1990) ve G.M. (1997) isimli şüpheliler düzenlenen operasyonla yakalandı.
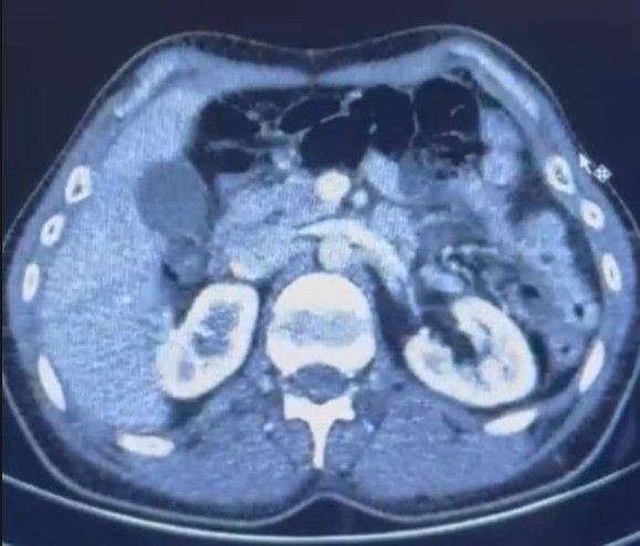
Şüphelilerin üzerlerinde ve çevrelerinde yapılan kontrollerin ardından, S.C. ve R.B.C. Kayseri Şehir Hastanesine sevk edilerek iç beden muayenesi yapıldı. Muayenede iki şahsın mide bölgesinde 50 adet kapsül şeklinde toplam 554 gram uyuşturucu madde bulundu.
Şüpheliler S.C., R.B.C. ve G.M. gözaltına alınarak, “Uyuşturucu Madde Ticareti Yapmak” suçundan haklarında adli işlem başlatıldı. Emniyet yetkilileri, uyuşturucu ticaretine karşı mücadelenin kesintisiz süreceğini belirtti.



































